Tartalomjegyzék
Tartalom

Tartalom

A mai modern fogászati technológia és egy elhivatott fogorvos csodákra képes. Tapasztalja meg Ön is, hogyan javíthatunk életminőségén egy átgondolt kezeléssel.
Továbbiak

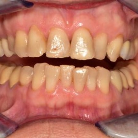
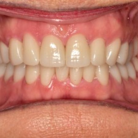
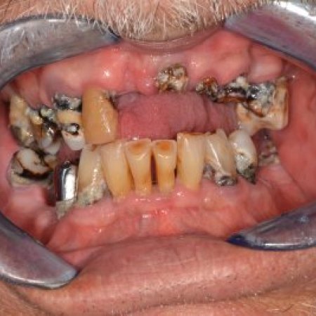
24 db implantátumokra rögzített korona

65 év körüli férfi páciensünk számára teljes szanálást követően, 24 db implantátumokra rögzített koronát készítettünk. A foghúzások után a szokásos négy hónapos gyógyulási idő következett. Ezután DVT-felvétel készült, amely alapján 6-6 Alpha Bio implantátum került a két fogívre, míg a felső állcsont mindkét oldalán zárt sinusra is szükség volt.  Újabb öt hónapos gyógyulási idő alatt kivehető ideiglenes fogsort kapott a páciens. A gyógycsavarok és felépítmények rögzítése után lenyomatvétel történt a végleges körhidakhoz. Az ideiglenes fogpótlás színe annyira tetszett a páciensnek, hogy a végleges fogpótlásra is ahhoz hasonlót kért.

  • 24 db implantátumokra rögzített korona | Vitalitás Fogászati Központ, Budapest
  • 24 db implantátumokra rögzített korona | Vitalitás Fogászati Központ, Budapest

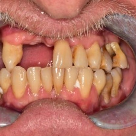
Hátsó régiókban lévő foghiány pótlása

55 éves hölgy páciensünk a hátsó régiókban lévő foghiány pótlására érkezett. A jobb és bal oldalon, alul és felül is szükség volt implantátum behelyezésre, melynek eredménye képpen összesen 7 db Nobel implantátumot ültettünk be, melyekre aztán laterális hidak ill. zirkon koronák kerülnek. Az optimális 4 hónapos gyógyulást követően a meglévő alsó frontfogak lecsiszolása után vett lenyomat segítségével egy 10 tagú zirkon hid készült, míg az implantátumokra azután csavaros hidak és szóló koronák lettek rögzítve.

  • Foghiány pótlása | Vitalitás Fogászati Központ, Budapest
  • Foghiány pótlása | Vitalitás Fogászati Központ, Budapest

Teljes alsó és felső állcsontra négy implantátummal rögzített overdenture

Egy 75 éves férfi páciens számára teljes alsó és felső állcsontot érintő, négy implantátummal rögzített overdenture készült. A foghúzásokat követően négy hónapos gyógyulási idő után DVT-felvétel készült a precíz tervezés érdekében. Ezt követően mindkét állcsontba 4-4 Alpha Bio implantátum került behelyezésre, amelyet újabb négy hónapos gyógyulási idő követett. A gyógycsavarok és felépítmények rögzítése után lenyomatvétel történt az implantátumokon nyugvó fogpótláshoz, végül az alsó és felső állcsontra stéges overdenture került átadásra, biztosítva a stabil és kényelmes rögzítést.

  • Teljes alsó és felső állcsontra négy implantátummal rögzített overdenture | Vitalitás Fogászati Központ, Budapest
  • Teljes alsó és felső állcsontra négy implantátummal rögzített overdenture | Vitalitás Fogászati Központ, Budapest

Rossz állapotú fogakra 27 db zirkon korona

Ez a 65 éves hölgy a meglévő, de rossz állapotú fogaira kapott összesen 27 db zirkon koronát. Első lépésben a fogak lecsiszolása után rövidtávú rendelői ideiglenes koronák készültek, amelyek védenek az érzékenység ellen, míg elkészülnek a laborban a végleges koronák. A megfelelő fogszín kiválasztása után két lécsőben kerül sor próbákra, ahol megbizonyosodunk, hogy a két szembenálló fogsor tökéletesen illeszkedik és biztos, kényelmes harapást nyújt. Ha minden rendben, a beragasztott új koronák tökéletes esztétikai és funkcionális eredményt biztosítanak.

  • Rossz állapotú fogakra 27 db zirkon korona | Vitalitás Fogászati Központ, Budapest
  • Rossz állapotú fogakra 27 db zirkon korona | Vitalitás Fogászati Központ, Budapest

12 Nobel implantátumon nyugvó alsó és felső körhíd

37 éves férfi páciensünk 12 Nobel implantátumon nyugvó alsó és felső körhídat kapott, 24 db csavaros fémkerámia koronából.  A foghúzásokat követő négy hónapos gyógyulási idő alatt kivehető ideiglenes fogsort kapott. Ezt követően mindkét állcsontba 6-6 Nobel implantátum került behelyezésre, amelyet újabb négy hónapos gyógyulási idő követett. A gyógycsavarok és felépítmények rögzítése után speciális támasztócsapos harapás regisztráció és lenyomatvétel történt az implantátumokon nyugvó fogpótláshoz.  A 12-12 tagból álló alsó és felső körhíd csavaros rögzítésének köszönhetően a fogpótlás jövőbeni ápolása sokkal egyszerűbb és hatékonyabb lesz.

  • 12 Nobel implantátumon nyugvó alsó és felső körhíd | Vitalitás Fogászati Központ, Budapest
  • 12 Nobel implantátumon nyugvó alsó és felső körhíd | Vitalitás Fogászati Központ, Budapest

All-on-4® - Nobel implantátumokon rögzített komplett fogpótlás

Ez a középkorú úriember teljes szájrehabilitációra szorult. A még meglévő fogait el kellett távolítani és az előírt protokoll szerint végigvitt beavatkozásáok során 4-4 implanton nyugvó rögzített hidakat kapott. (All-on-4)

  • All-on-4® - Nobel implantátumokon rögzített komplett fogpótlás
  • All-on-4® - Nobel implantátumokon rögzített komplett fogpótlás

Fedőprotézis (overdenture)

Ez az idős hölgy teljes száj rehabilitációt követően, most már két új - 4-4 implantra rögzített - fedőprotézissal (overdenture) mosolyog unokáira.

  • Fedőprotézis (overdenture)
  • Fedőprotézis (overdenture)

Teljes szájrehabilitáció

Ez a fiatalember egy teljes szájrehabilitációnak köszönhetően újra magabiztos fellépéssel kezdett új életet.

  • Teljes szájrehabilitáció
  • Teljes szájrehabilitáció

Nobel implantra rögzített cirkon korona

A képen látható fiatalember egy autóbaleset során vesztette el az egyik metszőfogát, amelyet egy Nobel implantra rögzített cirkon koronával pótoltunk.

  • Nobel implantra rögzített cirkon korona
  • Nobel implantra rögzített cirkon korona

Alsó és felső cirkon körhíd

Ennél a hölgynél – fiatal kora dacára – komoly fogszuvasodást és kopást diagnosztizáltunk. Alapos előkészítés után 24-tagú alsó és felső körhidat készítettünk cirkon koronákból.

  • Alsó és felső cirkon körhíd
  • Alsó és felső cirkon körhíd

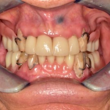
Precíziós elhorgonyzású fogsor

A hölgy alsó fogainak jó részét már elvesztette és a metszőfogak is végletesen elkoptak. Mivel nem akar implantációt, 6 új koronával és egy precíziós elhorgonyzású fogsorral hoztuk helyre a dolgot.

  • Precíziós elhorgonyzású fogsor
  • Precíziós elhorgonyzású fogsor

Kerámia híd

Ez a hölgy csak a felső fogsorát kívánta rendbehozatni, amit egy szép kerámia híddal sikerült is.

  • Kerámia híd
  • Kerámia híd

Komplex rehabilitáció

A képen látható fiatalember implantátumok és részleges fogszabályozásnak köszönhetően nyerte vissza mosolyát és ezzel önbizalmát.

  • Komplex rehabilitáció
  • Komplex rehabilitáció

Hibrid implanthíd

A képen mosolygó, elegáns hölgy hosszú utat járt be, mire az összes fog eltávolítását és 8 implant behelyezését követően egy hibrid-implanthíd meghozta számára a magabiztosságot.

  • Hibrid implanthíd
  • Hibrid implanthíd

Alsó és felső fémkerámia híd

Az itt látható úriember a foghiányait szerette volna rendbe hozatni, melyet fogtömések, gyökérkezelések hosszú során át, pár fog eltávolításával és 28 fémkerámia koronával meg is tudtunk valósítani.

  • Alsó és felső fémkerámia híd
  • Alsó és felső fémkerámia híd
Továbbiak
Mikor szeretné felkeresni rendelőnket?
Tartalom

Tartalom

Rólunk mondták

A Vitalitás Fogászati Klinika nagyon büszke a szponzorált sportolójára, Andrásfi Tiborra, aki 2024-ben világkupa-, olimpia és más bajnokságok értékes érmeit hozta haza és nem mellesleg a fogászatunk páciense. Nézzék meg a vele készült rövid interjút!